
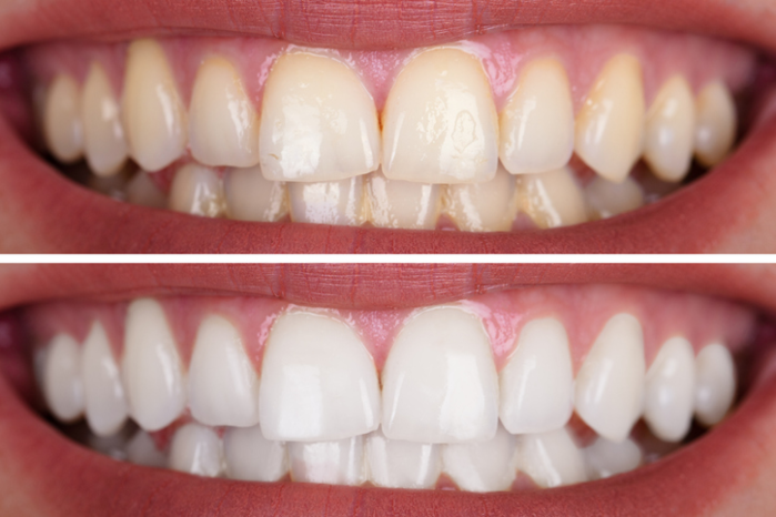
미소 속 비치는 하얀 치아는 아름다움의 상징이다. 특히 미소 속 흰 치아는 첫인상을 결정짓는 중요한 요소가 되기도 한다. 이에 녹차 치아미백 팩이나 원데이 치아미백 등 셀프치아미백제추천을 찾는 이들이 많다. 치아 하얗게 하기는 꼼꼼한 양치가 가장 중요하다. 하지만 치아 상아질이 이미 착색됐다면 양치질만으로 이를 희게 만들기는 어렵다. 이때는 치과를 방문해 치아 하얗게 하는 치아미백 시술을 받아야 한다.

치아미백이란, 색이 변한 치아에 고농도의 과산화수소나 과산화 요소 겔을 발라 이를 하얗게 하는 시술이다. 치과 치아미백은 15% 고농도 과산화수소수를 사용한다. 또 셀프 치아미백은 3% 미만의 과산화수소 사용을 추천한다. 단 치아미백 부작용이 있는 경우, 치아미백 횟수와 농도를 조절하고 치아에 불소 용액을 바른다. 치아미백 후 커피나 우롱차, 한약, 담배, 초콜릿 등 색소가 있는 음식을 피해야 한다.

치아미백 가격이 부담된다면, 치아미백 기계 대신 셀프 치아미백을 할 수도 있다. 베이킹소다 치아미백은 베이킹소다를 물이나 레몬즙에 1:2 비율로 섞어 붓이나 천으로 치아에 발라주면 된다. 또 코코넛오일 가글·양치로도 치아미백 효과를 볼 수 있다. 이밖에 치아미백제 추천리스트는 ▲상추 치아미백 팩, 상추를 깨끗이 씻어 물기를 제거한 후 갈아 치약 위에 뿌려 양치한다 ▲바나나 껍질, 바나나 껍질 안쪽 부분을 이에 문지른다 ▲과산화수소수 치아미백, 양치 전 과산화수소 물에 담근 면봉으로 치아를 문지른다 등이 있다.
[저작권자ⓒ HBN뉴스. 무단전재-재배포 금지]
































































