
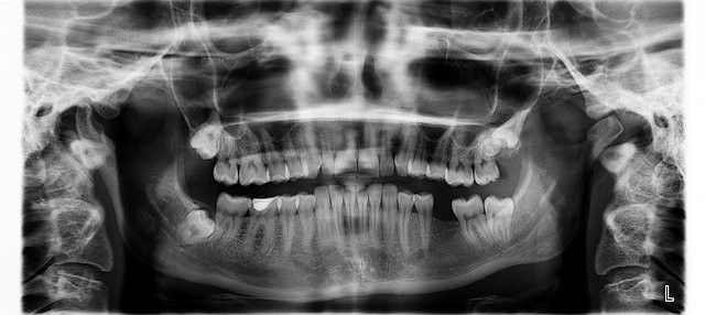
사랑니란 어금니 중에서도 제일 뒤쪽에 위치한 치아다.
마지막에 생기는 치아여서 막니라는 명칭도 있고.
어금니들 중에서 제일 끝인 세 번째에 있어 제3대구치라 불러도 된다.
가장 안쪽에 있기 때문에 관리가 어려워 충치가 생길 수 있기 때문에 뽑는 경우가 많다.
이외에도 틀어져 나는 경우가 많아 발치를 꼭 해야 할 수 있다.
사랑니 발치 후 피해야 할 점을 지켜야 빨리 아물 수 있다.
사랑니 발치 부작용으론 드라이소켓이 있다.매복사랑니란 잇몸 밑에서 자라는 사랑니다.
매복사랑니가 생기는 원인은 아직 정확하게 알려져 있지 않지만 인간이 진화하면서 아랫턱이 축소되면서 사랑니까지 완전하게 자라지 못한다는 의견이 많다.
매복사랑니는 잇몸의 아랫쪽에서 앞 치아를 밀어내 통증이 있을 수 있고 부기 및 염증을 유발하기 쉽다.
우치가 생기면 다른 치아까지 영향을 줄 수도 있어 빠른 관리가 필요하다.사랑니를 발치하고 1시간 정도 솜을 물어 지혈해주는 것이 좋다.
지혈이 제대로 이뤄지지 않으면 상처 회복이 느려지고 감염의 위험이 높아진다.
발치 후 2시간이 지나면 식사를 할 수 있는데, 뜨겁거나 차가운 음식은 피하는 것이 좋다.
유동식을 먹는 것을 추천한다.
수술부위의 감염을 피하기 위해 청결을 유지해야 하며 침뱉기나 빨대 사용은 일주일간 하지 말아야 한다.
빨대사용이나 침 뱉기는 압력이 가해져 봉합한 수술 부위가 터져 감염을 유발할 수 있기 때문이다.
[저작권자ⓒ HBN뉴스. 무단전재-재배포 금지]
































































